Knee Pain Treatment in Guwahati – Dr Firoz Ahmed (MS Orthopaedics)

If you are suffering from persistent knee pain while walking, climbing stairs, or even at rest, timely treatment is important to prevent long-term joint damage. Dr Firoz Ahmed provides comprehensive and advanced knee pain treatment in Guwahati using modern diagnostic methods, non-surgical therapies, and surgical solutions when required.
Knee pain treatment in Guwahati
painless knee replacement

Expert Knee Pain Doctor in Guwahati

Dr Firoz Ahmed is a qualified MS (Orthopaedics) and an experienced orthopaedic surgeon in Guwahati, specializing in knee joint disorders, arthritis management, ligament injuries, and knee replacement surgery.

His approach focuses on:

  • Accurate diagnosis of the cause of knee pain
  • Conservative treatment whenever possible
  • Minimally invasive procedures for faster recovery
  • Structured rehabilitation programs

What is Knee Pain?

Knee pain refers to discomfort, stiffness, swelling, or weakness around the knee joint. It may develop gradually due to aging or suddenly due to injury. Without proper treatment, knee pain can severely limit mobility and quality of life.
Knee joint anatomy showing bones and ligaments

Common Causes of Knee Pain

Osteoarthritis

Gradual wearing of knee cartilage, common after the age of 45.

Ligament Injuries (ACL, PCL, MCL)

Sports injuries or accidents causing knee instability and pain.

Meniscus Tear

Damage to knee cartilage due to twisting movements or squatting.

Patellofemoral Pain

Pain around the kneecap often seen in young adults.

Tendinitis and Bursitis

Inflammation of tendons or fluid-filled sacs due to overuse.

Fractures and Trauma

Bone injuries following road accidents or falls.

Symptoms That Should Not Be Ignored

  • Persistent knee pain for more than 5–7 days
  • Swelling or redness
  • Difficulty bending or straightening the knee
  • Knee locking or giving way
  • Pain during night or at rest
Knee pain treatment in guwahati

How Knee Pain is Diagnosed

  • Clinical examination
  • X-ray for arthritis and bone problems
  • MRI for ligament and cartilage injuries
  • Blood tests if infection or inflammatory arthritis is suspected

Knee Pain Treatment Options in Guwahati

1. Medications

Pain relievers and anti-inflammatory medicines to reduce pain and swelling.

2. Physiotherapy

Strengthening and flexibility exercises to support the knee joint.

3. Knee Braces and Supports

Helpful in ligament injuries and arthritis.

4. Injections

Lubrication or anti-inflammatory injections for selected cases.

5. Lifestyle Modifications

Weight management, activity modification, and posture correction.


When is Surgery Required for Knee Pain?

Surgery may be recommended when:
  • Conservative treatment fails
  • Severe ligament or meniscus injury exists
  • Advanced knee arthritis limits daily activities
  • Complex fractures are present

Arthroscopy Surgery

Minimally invasive surgery for ligament and cartilage repair.

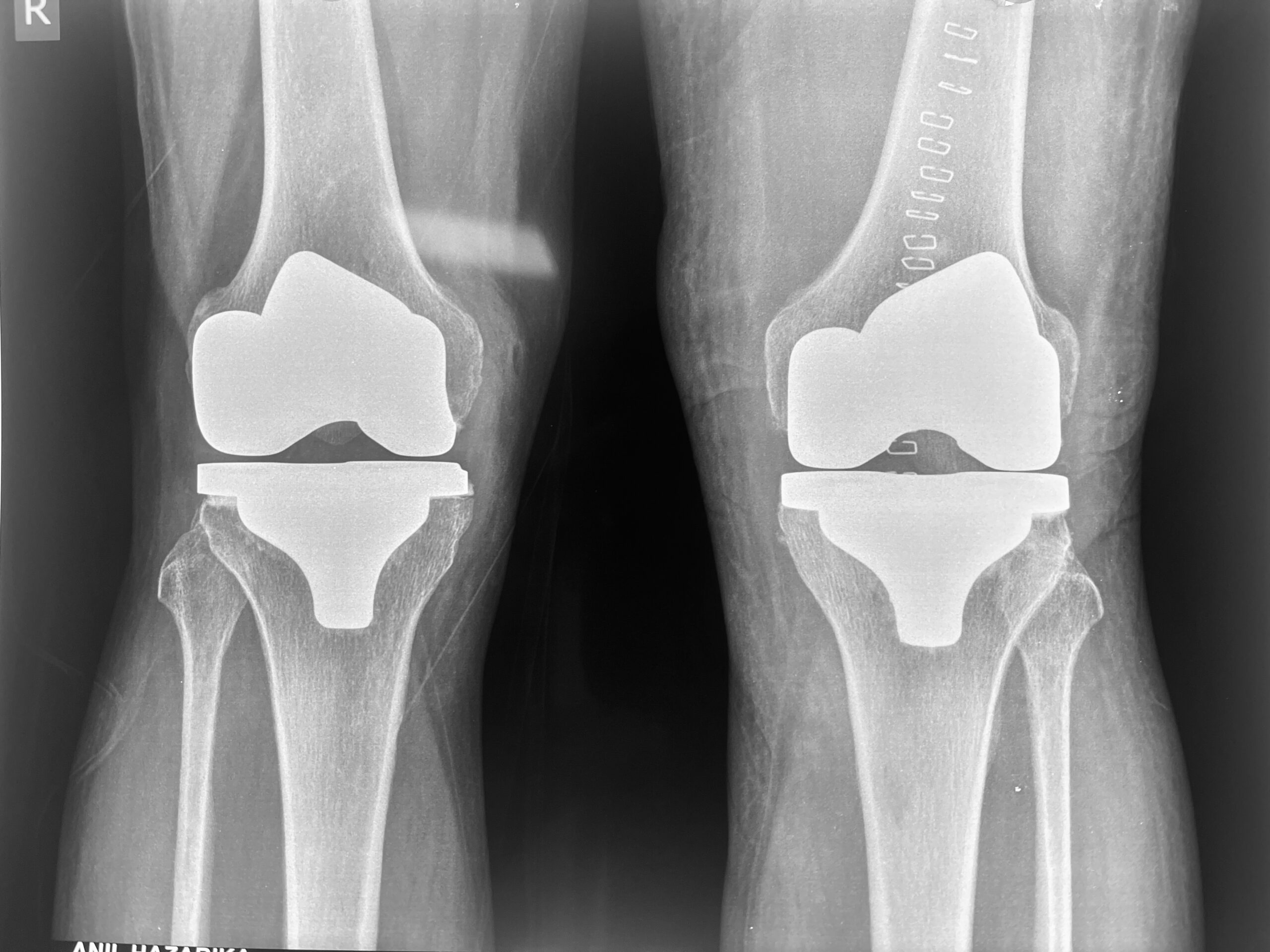
Knee Replacement Surgery

Recommended for severe arthritis with long-term pain and disability.

Why Choose Dr Firoz Ahmed for Knee Pain Treatment?

  • MS (Orthopaedics) Highly Qualified Specialist
  • Expertise in Knee Replacement and Arthroscopy
  • Ethical and evidence-based treatment
  • Modern surgical techniques
  • Comprehensive rehabilitation guidance

Frequently Asked Questions

Which doctor should I consult for knee pain?

An orthopaedic specialist should evaluate knee pain.

Is walking good for knee pain?

Light walking is beneficial for mild arthritis but should be avoided if pain increases.

Can knee pain be cured without surgery?

Yes. Most cases improve with medicines, physiotherapy, and injections.

Is MRI necessary for knee pain?

MRI is required when ligament or cartilage injury is suspected.

How long does knee pain take to heal?

Mild cases may heal in 1–2 weeks, while ligament injuries take 4–8 weeks.

Click here for Knee pain FAQs

Medical review by Dr Firoz Ahmed, MBBS, MS (Orthopaedics) – Consultant Orthopaedic Surgeon, Guwahati.


LastΒ  Updated: Jan 2026


Disclaimer:Β This post is for general awareness only and cannot substitute for medical knowledge. Any treatment decision has be based on actual patient examination and consultation by an experienced medical professional.

with Dr Firoz Ahmed for expert Knee pain treatment in Guwahati.

OPD Schedule: Mon – Sat (9AM toΒ  4 PM)

Address: ARHI Hospital,11th Mile, Jorabat,Khanapara

If you are suffering from Knee Pain, please contact us below:

Please enable JavaScript in your browser to complete this form.